Pradentis

BLANQUEAMIENTO DENTAL en Valencia

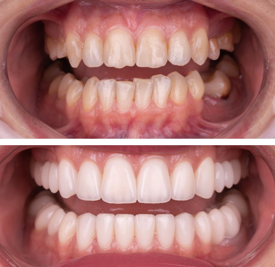
Blanqueamiento dental en valencia

¿Buscas un blanqueamiento dental en Valencia que sea seguro y efectivo? Si has estado contemplando esta opción pero aún no has dado el paso debido a la falta de confianza o a la variedad de técnicas disponibles, estás en el lugar adecuado.

En nuestra clínica dental Pradentis en Valencia, ofrecemos un tratamiento de blanqueamiento dental sin dolor y altamente eficaz, adaptado completamente a tus necesidades individuales. En una sola sesión de tan solo 45 minutos, podrás lucir una sonrisa más clara y radiante.

Nuestro método utiliza tecnología avanzada, líder en blanqueamiento dental, para garantizar resultados excepcionales en poco tiempo. Antes de iniciar el procedimiento, realizaremos un estudio detallado de tu caso y el color de tus dientes, lo que te permitirá comparar con los resultados que obtengas.

Puedes estar seguro de que nuestro tratamiento de blanqueamiento dental no dañará tus empastes ni tus prótesis, y no causará ningún desgaste en tus dientes. Además de eliminar la mayoría de las manchas, notarás una disminución en la sensibilidad dental.

¡No esperes más y solicita una valoración sin costo para descubrir todo lo que necesitas saber sobre nuestro eficaz sistema de blanqueamiento dental y sorpréndete con los resultados!

¿Qué es el Blanqueamiento Dental?

El blanqueamiento dental es un tratamiento diseñado para aclarar el color de los dientes, eliminando manchas superficiales y profundas. Consiste en la aplicación de geles blanqueadores compuestos por peróxido de carbamida o de hidrógeno, que liberan oxígeno y producen un efecto blanqueador.


Para el tratamiento de blanqueamiento dental en casa el paciente usará una cubeta individual hecha a su medida con un gel blanqueador. El dentista determina las semanas y horas diarias que debe llevarse puesta.
Para acelerar el proceso se puede combinar con tratamientos en clínica en los que el dentista, después de aislar la encía, aplica un gel blanqueador concentrado sobre la superficie dental que se activa mediante luz y calor.

¿Cuales son los beneficios de nuestro blanqueamiento dental en Valencia?

Mejora tu sonrisa: Logra una sonrisa más brillante y atractiva que mejore tu apariencia general.

Resultados Rápidos: Observa mejoras significativas a corto plazo.

Tratamiento Personalizado: Adaptamos el tratamiento a tus necesidades especificas para garantizar resultados

¿Qué tipos de blanqueamiento existen?   

                                                                                                            Blanqueamiento en clinica dental: es un procedimiento profesional realizado por nuestros especialistas. Utilizamos fórmulas avanzadas de blanqueamiento y tecnología de vanguardia para garantizar resultados rápidos y efectivos.                                                                                                                                                                              Blanqueamiento en Casa: Nuestro blanqueamiento en casa proporciona comodidad sin sacrificar calidad. Ofrecemos kits personalizados que permiten a los pacientes realizar el tratamiento en la privacidad de su hogar, bajo la supervisión de nuestros profesionales.

 
 

 

En Pradentis, entendemos que cada sonrisa es única y merece un enfoque personalizado. Confiar en nuestros profesionales para recomendar el tratamiento adecuado no solo garantiza resultados óptimos, sino que también maximiza tu comodidad y seguridad durante todo el proceso. Permítenos guiarte hacia la sonrisa perfecta con la atención experta que mereces

¡Reserva tu Consulta Gratuita! Descubre el blanqueamiento dental y cómo puede transformar tu sonrisa. ¡Agenda tu consulta hoy!

¿Por qué hacerte un blanqueamiento dental en Valencia con nosotros?

¿No estás contento con el color de tus dientes? ¿Has pensado en un blanqueamiento dental para mejorar tu estética dental? Pues has llegado al sitio correcto. Clínica Dental Pradentis es el sitio perfecto para realizar tu tratamiento de blanqueamiento dental.
Le asesoraremos para ofrecerle las últimas técnicas y aquellas que se adaptan mejor a su caso concreto. Nuestros dentistas profesionales cuentan con una gran reputación, por lo tanto podemos ofrecer servicios de gran calidad con un precio asequible. ¡No dudes en pedir presupuesto para tu blanqueamiento dental!

On this website we use first or third-party tools that store small files (<i>cookie</i>) on your device. Cookies are normally used to allow the site to run properly (<i>technical cookies</i>), to generate navigation usage reports (<i>statistics cookies</i>) and to suitable advertise our services/products (<i>profiling cookies</i>). We can directly use technical cookies, but <u>you have the right to choose whether or not to enable statistical and profiling cookies</u>. <b>Enabling these cookies, you help us to offer you a better experience</b>.